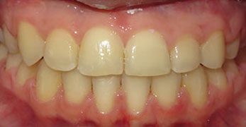
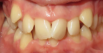
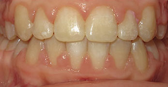
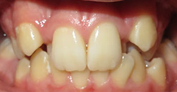
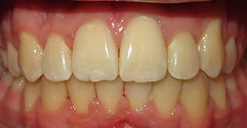
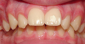
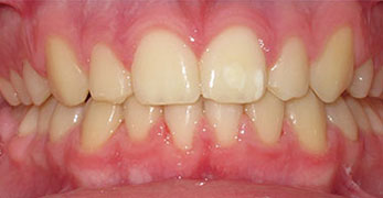
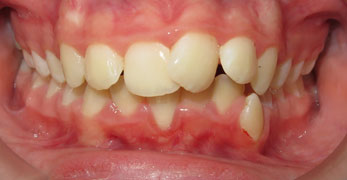
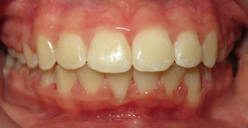
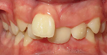
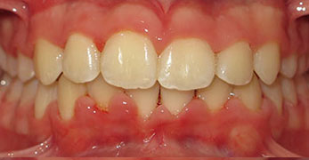
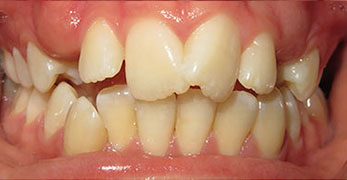
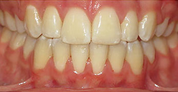
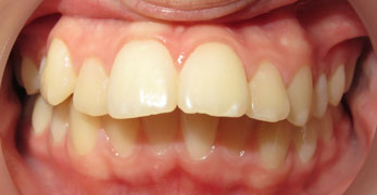
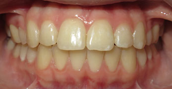
Braces before and afters
Traditional metal braces, and the system behind it which is used by a range of other orthodontic appliances, continues to be one of the most effective methods of orthodontic treatment. That’s why we continue to use traditional braces here at Torque Orthodontics. See for yourself the difference wearing braces has made to these patients of ours.























